Skjoldbruskkjertelen er en hormonproduserende kjertel som ligger foran på halsen, nedenfor strupehodet.
Kjertelen er også kjent som: glandula thyreoidea eller skjoldkjertelen.

Kjertelen produserer hormonene tyroksin og trijodtyronin, som regulerer stoffskiftet, samt kalsitonin, som bidrar til å regulerer blodets innhold av kalsium.
Skjoldbruskkjertelen er bundet til luftrøret med en kapsel av løst bindevev og følger strupehodet i dets bevegelser, men er normalt så liten og bløt at den verken kan sees eller føles utvendig. Normalt veier den 20–25 gram og er forholdsvis størst hos kvinner, hvor den også forstørres noe under menstruasjon og graviditet. Den består av to sidelapper forbundet ved en midtlapp, som befinner seg i høyde med 2. og 3. bruskring i luftrøret. Sidelappene når litt opp på strupehodets skjoldbrusk, som har gitt kjertelen navn.
Av og til finnes det også en såkalt pyramidelapp, en smal vevsstrimmel som strekker seg opp over strupehodets forside og kan nå helt opp til tungebenet; den er en påminnelse om at kjertelen under fosterutviklingen dannes som en nedposning fra munnhulens bunn. På baksiden av kjertelen ligger de små biskjoldbruskkjertlene, som produserer parathyreoideahormon som er av betydning for omsetningen av kalsium.
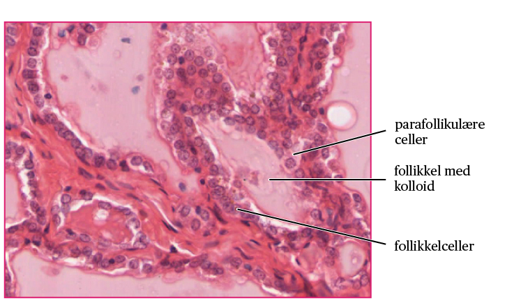
Under den ytre kapselen er skjoldbruskkjertelen forsynt med en indre kapsel av fast, elastisk bindevev, som også danner støttevevet i kjertelens indre. Kjertelvevet er fordelt på cirka 30 millioner follikler, som er blærelignende dannelser med en diameter på 0,05–0,5 mm. Folliklene er hormonproduserende enheter. Veggene består av kjertelceller i ett lag, og ytterst er hver follikkel kledd med en fin hinne som har et tett nett av blodkar. Skjoldbruskkjertelen er et blodrikt organ, og gjennomstrømmes av cirka fem liter blod i timen.
I folliklenes hulrom finnes det en halvflytende masse, såkalt kolloid, som dannes av cellene. Massen fungerer som et hormonlager som normalt kan dekke et par måneders forbruk. Mellom folliklene ligger det spredte celler som er større og lysere enn follikkelcellene, og som også har en annen opprinnelse. Disse kalles parafollikulære celler eller C-celler, og produserer kalsitonin.

Skjoldbruskkjertelen er bygd opp av follikler som inneholder kolloid. Det er follikkelcellene som produserer kolloid og skjoldbruskkjertelhormonene. De parafollikulære cellene kalles også C-celler og produserer hormonet kalsitonin.
Informasjon er hentet fra Store Medisinske leksikon som var sist oppdatert 9 november 2017: https://sml.snl.no/skjoldbruskkjertelen.